Polyzythämie

Definition:
Die Polyzythämie (Synonyme: Polyglobulie, Erythrozytose) ist definiert durch einen Hämatokrit bzw. ein Hämoglobin über dem Normbereich. Dabei muss die relative von der absoluten Polyzythämie unterschieden werden. Bei der relativen Polyzythämie ist die Erythrozytenmasse nicht erhöht. Der erhöhte Hämatokrit- bzw. Hämogloginwert kommt durch eine Verminderung des Plasmavolumens zustande (z.B. Dehydratation). Bei der absoluten (echten) Polyzythämie ist die Erythrozytenmasse erhöht.

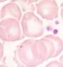
Hämatologie:
Die Erythrozyten sind dicht gepackt und überlagern sich gegenseitig.

Vorkommen:
Es gilt die primäre von der sekundären From zu unterscheiden. Bei der primären Form liegt in der Regel eine Polycythaemia vera vor, welche den myeloproliferativen Syndromen zugerechnet wird. Die sekundäre Form entwickelt sich infolge einer gesteigerten Produktion von Erythropoietin infolge chronischer Hypoxie (z.B. bei chronischer obstruktiver Lungenkrankheit) oder (selten) bei einem Erythropoietin-produzierendem Tumor (z.B. Nierntumor, Nierenzyste).


Inhaltsverzeichnis