Definition:
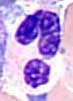
Der segmentkernige Neutrophile entspricht der letzten Reifungsstufe der Myelopoiese. In dieser Form treten die meisten Neutrophilen ins periphere Blut über. Sie machen rund der kernhaltigen Knochenmarkzellen aus ( ).

Aussehen:
Die segmentkernigen Neutrophilen des Knochenmarks unterscheiden sich morphologisch nicht von denjenigen des peripheren Bluts. Der Kern besitzt mindestens eine fadenförmige Einschnürung (Abgrenzung gegenüber stabkernigen Neutrophilen).


Inhaltsverzeichnis